心内科完成我院首例逆向技术开通冠状动脉慢性完全闭塞病变
发布时间: 已有 831 人浏览
11月6日,心内科以逆向导丝技术完成一例冠状动脉慢性完全闭塞病变(CTO)手术,为我院及平谷首例。
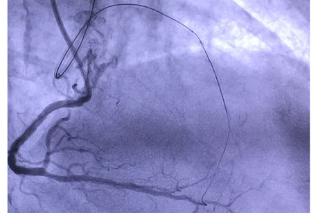
患者女性,78岁,因冠状动脉粥样硬化性心脏病,急性下壁心肌梗死,陈旧前壁心肌梗死入院。入院后完善冠脉造影术示:三支血管病变,左前降支近端100%闭塞;回旋支近端70-80%节段性狭窄;右冠近至远端70-80%弥漫性狭窄,后降支90%狭窄。患者病变严重,前降支为CTO。赵慧强主任详细阅片并查看患者后,决定为患者行血运重建治疗。
手术在11月6日进行,由赵慧强主任、张文广副主任医师担任术者。手术穿刺了两侧的桡动脉,均置入指引导管,微导管支持下送入前向导丝拟开通CTO病变,但闭塞病变处严重钙化,经尝试不能通过闭塞段到达远端真腔。鉴于右冠向左前降支发出良好的侧枝循环,此时果断地采用逆向导丝技术,首先干预右冠近端及远端病变,搬开逆向导丝应用的“绊脚石”,在微导管支持下专用导丝依次通过右冠后降支→侧枝循环→间隔支→前降支闭塞病变远端,逆行进入前降支闭塞病变远端,但逆向微导管未能送入侧枝内,遂改变策略再反复调整前向导丝前进,最终前向导丝与逆向导丝“抱紧”,成功通过闭塞病变到达前降支远端病变真腔,顺利完成支架置入。术后患者未再发作胸憋、胸痛,已顺利出院。
CTO病变是指冠状动脉闭塞在3个月以上的病变,约占所有介入治疗的15-20%。由于闭塞时间长,且经常合并钙化、迂曲,所以难度大,成功率低,一直是介入医师的最具挑战的病变,被称为冠脉介入需要攻克的“最后堡垒”。传统的介入技术是前向导丝技术,但成功率较低,近年来日本学者开展了逆向导丝技术,提高了CTO的成功率。逆向技术简单地说就是在一支冠状动脉闭塞后,从另一支向它发出侧枝循环的冠状动脉送入导丝,沿侧枝循环送入闭塞血管,从闭塞病变的远端逆向开通CTO病变,适用于前向导丝技术失败或闭塞处无明显残端的患者。但逆向导丝技术操作较为复杂、难度大,易发生冠状动脉侧枝穿孔及冠脉血栓,对术者要求极高。



我院心内科在“区办市管、两院一科”的方针指导下,冠脉介入治疗技术发展迅速,冠状动脉复杂病变(左主干、迂曲钙化、CTO等)和高危患者(合并心力衰竭、心源性休克、肾功能不全、高龄等)的介入治疗比例较过去明显上升;许多之前行冠脉造影被一些医院认定无法介入干预的患者重新接受了介入治疗,无一例死亡,患者提高了生活质量,改善了预后。
此次,心内科采用内逆向导丝技术成功完成CTO病变,不仅为我院及平谷区首例,也标志着我院的冠脉介入技术达到了市内先进水平。今后,我院心内科介入团队将继续努力不断提高技术水平,更好地为平谷区人民服务,使平谷区人民在本地就能享受到高水平的医疗。
文/心内科 张文广 马立永