北京市卫生健康委员会 Beijing Municipal Health Commission

关节外科-创伤骨科成功完成我院首例小儿肱骨髁上骨折手术治疗

发布时间: 已有 785 人浏览

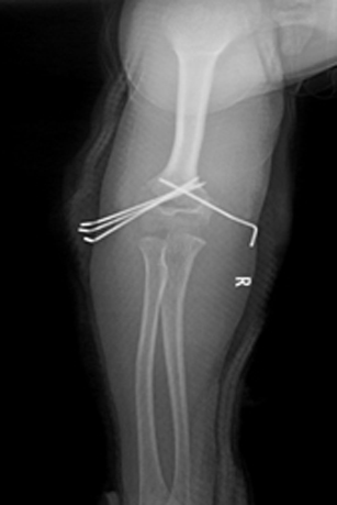
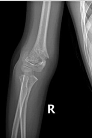
2018年6月2日,关节外科-创伤骨科底垚宗主治医师小儿的骨科门诊接诊一名12岁肘关节损伤患儿,完善相关检查后X线提示:右肱骨髁上骨折。

患儿,李XX,男性,12岁,主因“摔伤右肘疼痛、畸形、活动受限1天余”门诊入院。小儿肱骨髁上骨折根据Gartland分类法,分为I型无移位;II型有移位但后侧皮质完整;III型有移位且无骨皮质接触。此患者骨折分型为III型骨折,骨折移位通过外固定维持骨折位置困难,手术指征明确。入院后积极术前准备,于2018年6月5日行手术治疗,术中给予外侧三枚克氏针、内侧一枚克氏针固定,见骨折位置满意,术后石膏固定。

小儿肱骨髁上骨折复位不良产生的问题已受到广泛关注,以往肘内翻、肘外翻常常被认为是肱骨远端骺板早闭所致,但精准的解剖复位亦是预防以上并发症的重要因素。目前国内、国际的治疗方案为闭合复位克氏针内固定术,以往我区此类骨折患者均于北京上级医院就诊。此手术的成功完成,避免了患儿往返北京的奔波,同时进一步推动了我院小儿骨科的发展。

1.jpg术前

2.jpg术后

           文/关节外科-创伤骨折   何建平