医者仁心,精益求精—我院首例产前诊断帆状胎盘合并血管前置孕妇于孕35周顺利剖宫产
发布时间: 已有 1507 人浏览
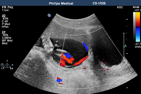
日前,一名28岁的孕妇(孕 2产0)孕23周来我院超声科做产前筛查。蔡国静副主任医师凭借自己丰富的临床经验及严谨细致的工作作风诊断孕妇为“帆状胎盘合并血管前置”。
我院产科在35周时将孕妇收住院,入院后严密监护,于35+3周时实施剖宫产,成功娩出一体重2110g的女婴,帆状胎盘合并血管前置在术中得以证实。

帆状胎盘是指脐带附着于胎膜上,脐血管在未进入胎盘时已发生分支,经过羊膜和绒毛膜之间进入胎盘。当胎膜中的脐血管接近或跨越宫颈口,位于胎先露之前,则称为血管前置。血管缺乏华通胶及胎盘组织的保护,容易受压及撕裂,引起胎儿出血,导致胎儿死亡。产前前置血管破裂大量出血,胎儿可在3分钟内死亡,死亡率高达58%-73%;或者胎先露下降血管受压,胎儿循环障碍,导致胎儿窘迫甚至死亡。
据了解,血管前置如果能在产前得到诊断,胎儿存活率达97%,而没能得到诊断的存活率仅为44%,这是我院首例成功产前正确诊断并及时处理的病例。此孕妇的转危为安,需要超声医师耐心、细致地寻找蛛丝马迹,也需要产科及时、正确的处理。在现代医疗诊疗模式的发展趋势下,多学科通力协作显得尤为重要。在以后的工作中,我们还是要继续提高专业技术水平,多学科紧密合作,精益求精,脚踏实地不断向前迈进。
文/超声科 焦红坤 编辑/宣传中心