高科技3D打印技术精准助力复杂假体周围骨折治疗
发布时间: 已有 663 人浏览
近日,我院关节外科-创伤骨科应用3D打印技术为一例复杂全膝关节置换术后、假体近端骨折患者,进行了内植物取出、骨折复位髓内钉固定植骨手术。这是3D打印这一高科技技术首次在平谷区卫生系统应用,此项技术的成功应用,标志着我院骨科填补了平谷区卫生系统的一项空白,诊疗技术达到了国内先进水平。
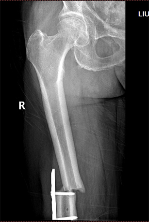
患者刘先生,2017年1月在外院行“右侧全膝关节置换术”,术后4个月不慎摔伤致右股骨髁上骨折,骨折移位,在我院关节外科-创伤骨科成功行骨折复位钢板内固定术,术后恢复良好。今年4月不慎再次摔伤,导致钢板近端骨折,骨折端成角、旋转移位。患者及家属出于对我院整体实力的信任,再次入住我院关节外科-创伤骨科。


术前影像
我院关节外科-创伤骨科副主任医师王兴龙通过详细查体及全面的影像学检查,综合评估病情后,发现貌似简单的骨折背后隐藏着复杂的情况。因为患者上次股骨髁上骨折后,股骨远端髓腔被增生骨痂封闭,且计划实施的髓内钉固定术,常规远端锁钉的位置骨质有缺损,如锁钉打入这一缺损区,固定将很不稳定,大大影响手术效果。如何使远端锁钉跨过缺损区,精准置入缺损两端健康骨质是此次手术的难点。如果以常规手术程序操作,将很难进行。我院关节外科-创伤骨科借助目前骨科领域先进的3D打印技术,完美地解决了这一问题。
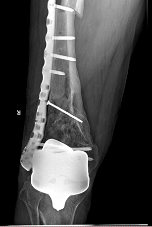
在手术之前,首先做股骨全长薄层扫描CT,将患者股骨影像及数据搜集并记录下来,通过3D打印技术制作出一个1:1比例的股骨“复制品”,它的直径、长短、髓腔形态都与患者真实情况完全相符,甚至患者骨骼上每一块凹陷与凸起,每一点纹理和痕迹都呈现得一清二楚。然后通过在体外对模型进行模拟手术操作,准确制订出了髓内钉的入针点、长度、直径,精确计划出远端锁钉准确位置。手术时,按着术前的设计顺利完成了手术,大大缩短了手术时间,减少了对患者的创伤。术后影像骨折解剖复位,锁钉位置精准无误,术后患者顺利康复。

3D打印模型


术中影像

术后影像
我院关节外科-创伤骨科技术力量雄厚,人才队伍配备完善。近年来开展微创人工关节置换、 膝关节疾病“保膝”治疗、复杂人工关节翻修、椎间孔镜、踇外翻矫形、踝关节韧带修复等多项新技术。
近期又将增添一高科技利器——“天玑”骨科机器人。它将借助生物医学工程技术,通过智能术前规划与虚拟仿真、术中实时多模影像引导与机器人准确稳定操作进行微创骨科手术,定位精度达到了亚毫米级。它的使用将会推动我院骨科进入飞速发展的新阶段!

文/关节外科-创伤骨科 王兴龙