北京友谊医院平谷医院心内科成功完成一例超大旋磨头冠状动脉旋磨术
发布时间: 已有 1569 人浏览
近日,我院心内科成功完成一例使用2.15mm超大旋磨头进行旋磨治疗的病例,此旋磨头为目前国内冠脉介入手术使用直径最大的旋磨头。据了解,我院成功完成超大磨头冠状动脉旋磨术是国内第二例,北京第一例。



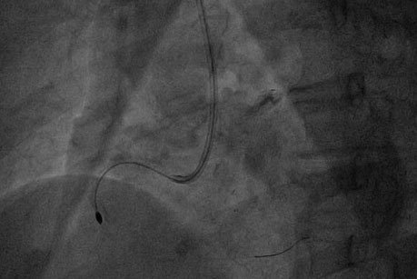
患者为老年女性,冠脉造影显示:右冠状动脉严重狭窄,伴有极为严重的钙化,需要行冠状动脉旋磨术治疗。但该患者血管发育极为粗大,直径在4mm以上,需要超大直径的旋磨头。目前国内常用的旋磨头直径为1.25-1.75mm, 配备2.0mm及以上旋磨头的医院很少。研究显示,我国女性仅有40%可以耐受7F鞘管(2.85mm),很少能容纳8F的鞘管(直径3.22mm)。但该患者需要超大直径旋磨头治疗,因此也需要大直径的8F指引导管和鞘管输送。

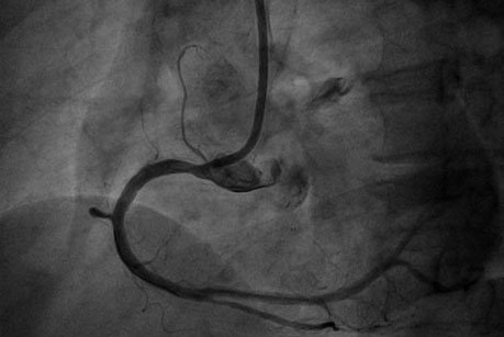
经过冠脉介入团队充分讨论后,制定了个体化的介入治疗方案,择期为患者进行冠状动脉旋磨术。心内科执行主任赵慧强将友谊医院通州院区备好的2.0mm和2.15mm旋磨头调至我院,亲自为患者进行介入治疗。他采用了自己首创的球囊辅助(BAT)的无鞘技术,经桡动脉成功将8F导管送至冠脉开口,先后使用2.0mm和2.15mm旋磨头进行旋磨,最终成功植入2枚支架,手术顺利完成,效果非常满意。患者目前已康复出院。
随着社会人口老龄化,老年患者所占比例日益增加,冠状动脉钙化病变的病例数量也日益增加。钙化病变往往因球囊不能充分扩张而导致支架不能输送到位,或即使输送到位支架也不能在血管内充分扩张,冠状动脉旋磨术这一手术方式能够很好的解决这些问题。为了有效治疗钙化病变,我院心内科于2019年成功开展冠状动脉旋磨术,至今已完成30余例。介入水平的提高,复杂手术的成功,需要团队的协作和努力,也离不开导管室的大力支持,更得益于“区办市管两院一科”的管理模式。
文/心内科 陈金岭