【特色技术】平谷区医院消化内科内镜下黏膜剥离术(ESD)
发布时间: 已有 884 人浏览
“张主任,我胃里长东西了!”一大早,平谷区医院消化内科主任张永潮刚走进诊室,一位70多岁的老大爷拿着胃镜报告就进来了。“别着急,我给您瞧瞧。”张主任一边详细地询问着病史,一边仔细地阅读着内镜报告。原来,这位老大爷因为“腹痛”在我院完善胃镜检查,活检病理提示高级别上皮内瘤变。“您这个病变属于早期病变,我帮您安排住院,需要做超声内镜明确一下病变范围,可以在内镜下行黏膜剥离术微创切除。”张主任安抚着病人,并将内镜下黏膜剥离术(ESD)的过程详细地告诉了患者及其家属。
患者住院后,张主任带领内镜团队与北京友谊医院消化科王拥军教授一起为患者制定了胃早癌ESD微创治疗方案。与患者家属充分沟通后,手术在我院消化内镜中心顺利实施。术中病变完整剥离,创面干净,整个手术过程无明显出血,术后第三天患者即可进食。

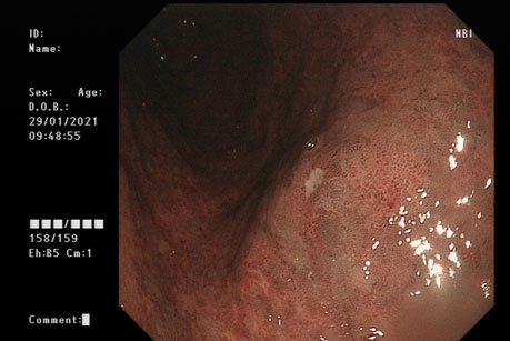
内镜下观察病变的范围

超声内镜观察病变的浸润深度

切除的标本,充分展开后再次观察切缘干净,完整切除
ESD是在内镜下黏膜切除术(EMR)基础上发展而来的新技术,方法是在内镜黏膜下注射基础上,利用高频电刀与专用器械,将胃肠道病变与其下方正常的粘膜下层逐步剥离,进而将病灶完整切除。通过ESD手术可完整地切除消化道早癌,达到微创根治的目的。相比传统外科手术而言,ESD技术属于内镜下微创手术,具有不改变消化道解剖结构、不开刀、创伤小、恢复快、住院时间短等优势。

目前,ESD技术发展成熟,已成为国际国内切除消化道早期肿瘤的首选方法。在“区办市管 两院一科”的管理模式下,平谷区医院消化内科与北京友谊医院消化内科深度融合,在王拥军教授的指导和支持下,已成功开展ESD上百例,为平谷及其周边地区的百姓保驾护航。