【医疗技术】“无声影技”之超声造影与甲状腺结节
发布时间: 已有 1167 人浏览
近日,王女士因体检时发现一个TI-RADS 4a类的甲状腺结节而格外焦虑,自行在网上查询觉得自己可能得了甲状腺癌,于是来到北京友谊医院平谷医院就诊。医生对比王女士以往的体检报告,目前的甲状腺结节有部分恶性征象,但结节却在不断缩小,诊断此结节为“木乃伊”结节,建议王女士观察随诊。王女士自己在网上了解到超声造影可以在一定程度上分辨“木乃伊”结节和恶性结节,希望做一下此项检查。考虑到患者的紧张情绪,便又为她做了超声造影检查,整个过程仅仅用了几分钟。结果也如预期一样,结节全程无任何增强,考虑是一个良性结节,只需要定期观察即可。此时,王女士悬着的心终于放下了。
“木乃伊”结节是由于囊液固缩、纤维化等而形成,本质上内部成分是一堆坏死物质和血凝块,因此在超声造影时,它是一个无血供的结节,而恶性结节则是有血供的。
甲状腺癌是发病率最高的恶性内分泌肿瘤,发病人群中以女性多见,且发病率逐年上升。但其恶性程度低、进展缓慢,经过临床规范治疗后大多数患者的整体预后良好。因此,甲状腺癌早期诊断对于临床为患者制定恰当的诊疗方案尤为重要。目前针对甲状腺结节常用的检查方法包括常规超声、超声造影以及超声引导下的穿刺活检。
什么是甲状腺超声造影?
甲状腺超声造影是在常规超声检查的基础上,通过外周静脉注射超声造影剂(六氟化硫)进入体内,增强人体的血流信号,显示组织的微循环血流灌注的一项技术。
超声造影的优势有哪些?
超声造影安全,实时动态,对肝肾功能无影响,无辐射,无需过敏试验,可重复操作,不良反应少,造影剂最终通过肺部呼吸排出体外,极大提高了甲状腺癌的诊断效率,是一项安全可靠的临床诊断技术。


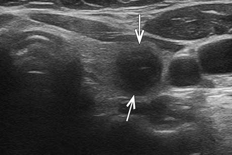
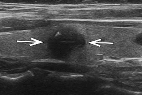
甲状腺左叶实性结节,形态欠不规则,边界尚清,局部紧邻后方被膜,结节内部可见强回声钙

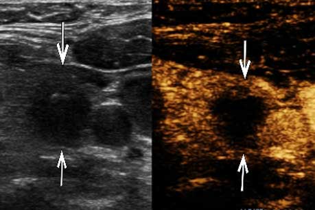
超声造影全程结节无增强
(未完待续,后续介绍超声引导下的穿刺活检)
文/超声科 郭为衡