【医疗技术】生死时速,高效救治韩国急性心肌梗死患者
发布时间: 已有 457 人浏览
近日,北京市平谷区医院再次展现其卓越的医疗技术和高效的应急救治能力,成功为一名急性心肌梗死的韩国友人完成了急诊冠脉介入治疗,挽救了患者的生命。
事情发生在一个深夜,一名居住在平谷区的韩国患者因持续胸痛症状被紧急送往平谷区医院的急诊科。这名患者虽然能够听懂简单的汉语,但沟通仍存在一定困难。面对这一特殊情况,急诊科医护人员迅速启动绿色通道,将患者转运至抢救室,并即刻完善心电图检查。
心内科二线在接到急诊电话后,迅速到场查看患者。经过病史了解、简单查体及心电图阅读,患者被确诊为“急性广泛前壁心肌梗死”。这是一种极为危险的心肌梗死类型,发生恶性心律失常、心衰、心脏破裂等风险极高。在如此紧急的时刻,心内科介入团队迅速行动,与急诊科、导管室紧密配合,并在家属的信任下以最快的速度开通了患者闭塞的冠状动脉。从患者到达医院到血管开通,DTW时间仅为57分钟,远低于国际公认的90分钟标准。
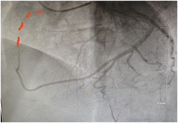
值得一提的是,在造影过程中,医护人员发现患者的右冠状动脉并未闭塞,而是从回旋支发出,这一特殊情况也为手术增加了难度。但凭借精湛的技术和丰富的经验,介入团队成功开通了闭塞的血管,恢复了患者冠脉血流和心肌血液供应。
经过在心血管监护病房(CCU)1周的精心治疗,患者的心肌缺血症状很快缓解,并顺利出院。这一成功案例不仅展示了平谷区医院心内科介入团队的专业实力和高效救治能力,也彰显了医院“胸痛中心”体系建设的显著成效。

急性广泛前壁心肌梗死心电图。

左图方框内为前降支闭塞部位,右图方框内为开通闭塞血管后影像。

右冠供血区域由回旋支远段发出的分支提供血液供应。
作为承担整个平谷区急性心肌梗死急诊冠脉介入治疗工作的核心团队,平谷区医院心内科始终致力于急性心肌梗死的救治,通过“胸痛中心”体系建设优化诊疗流程。经过近些年的不懈努力,医院已将患者DTW时间缩短至90分钟内,显著减少了心肌梗死面积,为平谷区乃至国内外患者提供标准化治疗。
从事心血管内科及冠心病介入工作10余年,擅长高血压、心力衰竭、冠心病等的诊断及治疗;在冠心病介入治疗方面,能够独立完成冠脉造影及介入治疗,能够完成临时起搏器植入术、IABP球囊植入术等;同时在多个学术协会担任委员职务。
文/心内科 陈金岭
编辑/宣传中心